乳がん検診について
なぜ、乳がん検診は必要なの?【乳癌検診Q&A】
はじめに
30歳以上になったら毎年乳がん検診を受けましょう。
何か異常を感じたときにもすぐに乳腺外来を受診するようにしましょう。
診断
乳がんの検査の種類はいくつかあります。順番にお話いたします。
1. 問診
次のような質問にお答えいただきます。受診前にまとめておくと良いでしょう。
- いつから症状が現れたか、悪くなっているか、良くなっているか
- 他の病院を受診したか、治療を受けてきたか、先生の診断は
- 今までに入院するような病気になったか、手術を受けたことがあるか、内服している薬はあるか
- アレルギー体質かどうか
- 血縁関係のひとに乳がん体験者やその他のがんの治療経験があるか
2. 視触診
乳房と乳頭に異常がないかどうかをチェックします。
乳房のくぼみや発赤、乳首の陥没がないかをチェックします。
また両側の乳房を比較して大きさが極端に差がないかどうかも確認します。
触診では、両側の乳房と脇の下と首のリンパ節を触って異常がないことを確認します。
視触診単独による乳がん検診では死亡率減少効果は期待できないので、
必ずマンモグラフィーや乳腺エコーとともにお受けになることをお勧めします。
3. マンモグラフィー

レントゲンで乳房を撮影します。
乳房を上下および左右から板で挟んで撮影します。
胸の大きさにかかわらず撮影可能です。
おなかに赤ちゃんがいらっしゃる女性は赤ちゃんの被爆の危険性がありますので、前もっておっしゃってくださいませ。
触診や乳腺エコーで見つけられない超早期の乳がんを発見することが可能です。
超早期の乳がんとは非浸潤がんと呼ばれ、最近特に増加傾向です。
超早期の段階で発見出来れば、乳がんは100%近くの確率で完治させることが可能です。
4. 乳腺エコー(超音波検査)
皮膚にゼリーを塗って超音波を当てることで画像を得ることができる検査です。
被爆の心配は全くありません。
身体の中の腫瘍に対して、実際のエコー画像を観察しながら針で組織や細胞を採取することができます。
マンモグラフィーに加えて乳腺エコーを追加することによって、総合的に乳がんの診断をおこなうことができます。
![]() |
![]() |
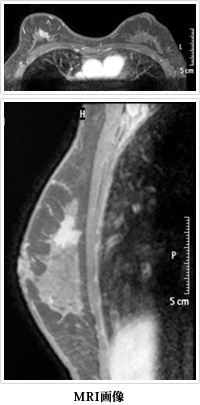
5. 乳房造影MRI検査

MRI用造影剤であるガドリニウムを使用しておこないます。
ほとんどの乳房の病気は、マンモグラフィーや乳腺エコーで特定可能であり、さらに乳房の針生検により良悪性の診断が可能です。
しかし、乳腺エコーで病変が特定できず針生検も不可能な場合、さらに画像検査と組織の病理結果が一致しない場合におこないます。
またMRIだけでしか発見出来ない多発乳がんが存在しますが、現時点でMRIだけでしか指摘できない病変の対処方法が決定しておらず、今後の検討が必要です。
手術前には、必須の検査となりつつあります。











